Smile Gallery
Take a look at some of the smile transformations we've created for our patients!
The spaces between this patient's teeth were acting as uncomfortable food traps. Dr. Schmitt used clear aligners with Invisalign® to move the teeth into better alignment and close the annoying gaps.
Now, this patient can smile with confidence and chew with ease!
Want to Learn More about Invisalign?
Contact your Invisalign dentist in Brentwood, TN, at (615) 373-0883 to book an evaluation.
This patient was unhappy with the appearance of some older restorations. Dr. Schmitt replaced their bridge and crowns with updated versions that appear more uniform, natural, and lifelike.
What Can Dental Crowns in Brentwood Do for Your Smile?
If you'd like to learn more about the possibilities for your smile, contact our team at (615) 373-0883 and book an evaluation with Dr. Schmitt.
This patient was thrilled with their results after professional teeth whitening in Brentwood. Most of our patients, like this one, enjoy smiles that are six to ten shades lighter than when they started.
Would You Like to Brighten Your Smile?
We offer two options for professional teeth whitening—an in-office treatment that delivers immediate results and a comfortable and convenient take-home kit that produces brighter smiles in 10 to 14 days.
Book an evaluation with Dr. Schmitt to learn more about your options for a whiter, brighter smile.
This patient was displeased with their dull and yellowed teeth. A professional teeth whitening treatment resulted in the whiter, brighter smile they wanted, and now they can't stop smiling!
Professional Teeth Whitening in Brentwood, TN
At Haley E. Schmitt, DDS, Family & Cosmetic Dentistry, we offer two types of professional teeth whitening with in-office bleaching treatments and convenient take-home whitening kits.
Contact our team at (615) 373-0883 for more information about professional teeth whitening.
This patient wanted to straighten their crooked teeth and improve their bite. We were able to help them achieve their goals with clear aligners with Invisalign® in Brentwood.
Would You Like to Straighten Your Teeth?
Contact our dental office at (615) 373-0883 to book an evaluation with Dr. Schmitt to learn more about clear braces.
This patient was unhappy with their misaligned tooth that trapped food and diminished the appearance of their smile.
Dr. Schmitt used clear aligners with Invisalign to move this patient's teeth into alignment and improve their smile and chewing function.
Want to Learn More about Invisalign® Treatment?
If you'd like to determine if Invisalign is right for your needs, contact your certified Invisalign provider in Brentwood at (615) 373-0883 and book an evaluation.
Composite resin bonding restored this tooth to its former glory, blending in seamlessly with the tooth and improving their smile!
Contact Your Cosmetic Dentist in Brentwood, TN
If you'd like to improve your smile, we invite you to book an evaluation with Dr. Schmitt at (615) 373-0883.
KöR Teeth Whitening is science based and one of the best professional teeth bleaching systems available. KöR is clinically proven to eliminate stubborn stains, like tetracycline, that most other bleaching products can't touch.
This patient is thrilled with their results and can't stop smiling!
Learn More about Teeth Whitening in Brentwood
Contact our team at (615) 373-0883 to learn more about KöR.
Dr. Schmitt restored this smile with a composite resin veneer. Made of the same material used for dental fillings, composite resin can eliminate many of the same flaws as porcelain veneers.
We Can Help You Reclaim Your Best Smile
Everyone deserves a smile they love, and your cosmetic dentist in Brentwood can help! Call (615) 373-0883 to book your evaluation with Dr. Schmitt.
This patient was self-conscious about their discolored tooth. Dr. Schmitt covered the tooth with a crown, blending it flawlessly into their smile.
CEREC Same-Day Crowns in Brentwood Can Enhance Your Smile
Book an evaluation with Dr. Schmitt to learn more about what's possible for your smile.
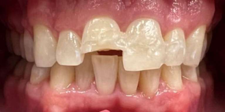
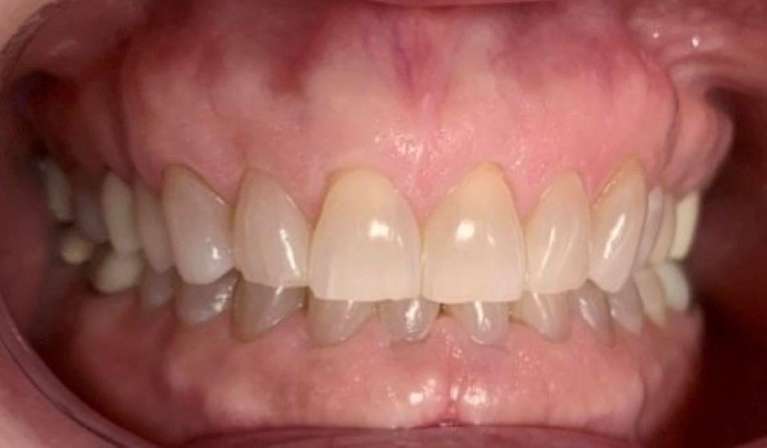
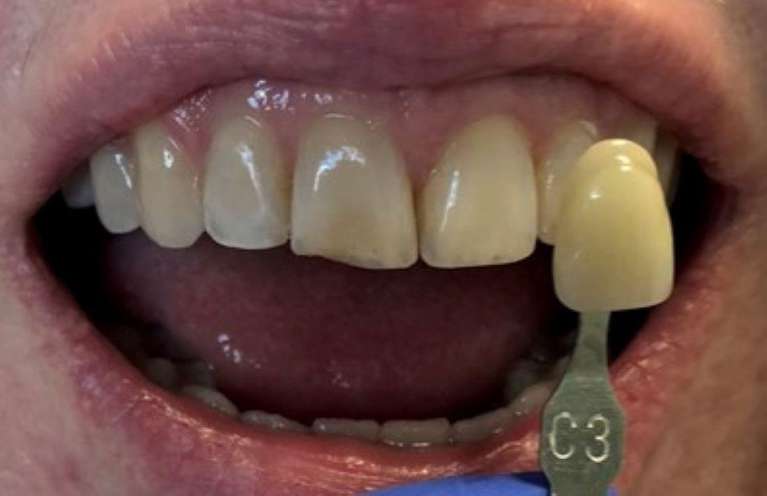
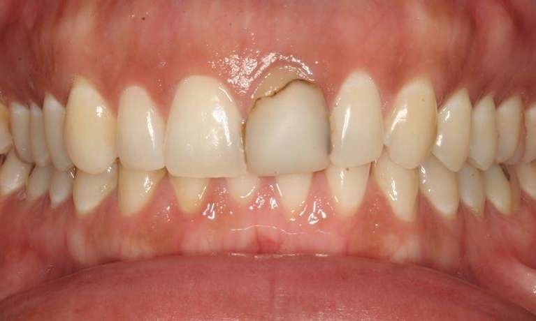
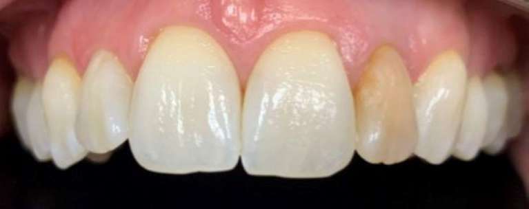
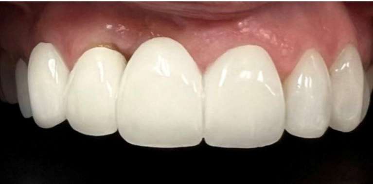
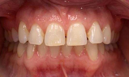
Dental trauma left this patient in a bind with a broken front tooth!
With same-day CEREC technology, Dr. Schmitt was able to restore their teeth and seamlessly blend the new restorations into their smile with ceramic porcelain crowns.
Want to Learn More about Cerec Same-Day Crowns?
Contact our team at (615) 373-0883 if you need more information about dental crowns or if you or a loved one experiences a dental emergency in Brentwood. We're here to help!
This patient wanted to update their front bridge with a more natural and symmetrical look. Dr. Schmitt combined skills, artistry, dental crowns, and a new bridge to help this patient achieve their goals.
Looking for Crowns or a Dental Bridge in Brentwood?
Dr. Schmitt can help you achieve the beautiful smile you've always wanted! Contact our Brentwood dental office at (615) 373-0883 to book your evaluation.
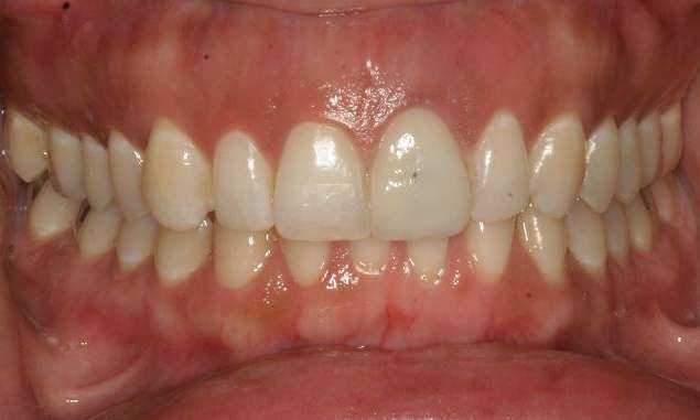
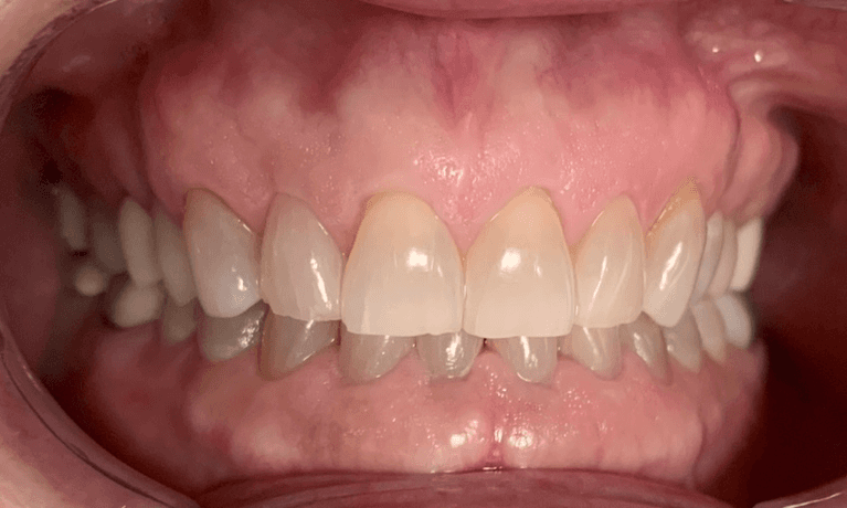
This patient presented with front teeth covered by old and worn dental crowns. Dr. Schmitt replaced the restorations with new ceramic porcelain crowns that delivered a natural, life-like appearance and superior durability.
Learn More about Dental Crowns in Brentwood, TN
These days, porcelain crowns are durable and aesthetically pleasing. With innovative CEREC treatment, Dr. Schmitt can deliver beautiful porcelain restorations like crowns and veneers during one visit to our dental office.