Haley E. Schmitt, DDS Cosmetic & Family Dentistry
A Great Dentist

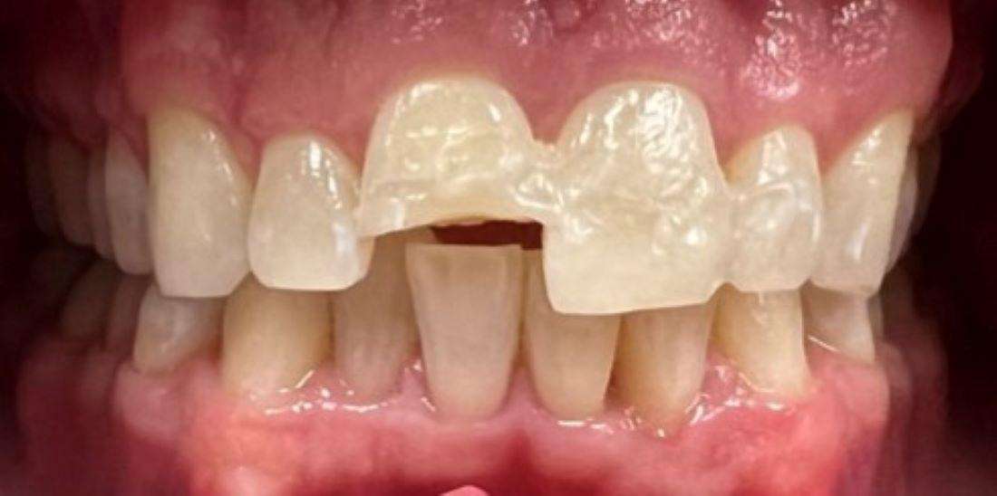
Restoring Troubled Teeth with Crowns After Dental Trauma

Dental trauma left this patient in a bind with a broken front tooth!

With same-day CEREC technology, Dr. Schmitt was able to restore their teeth and seamlessly blend the new restorations into their smile with ceramic porcelain crowns. 

Want to Learn More about Cerec Same-Day Crowns?

Contact our team at (615) 373-0883 if you need more information about dental crowns or if you or a loved one experiences a dental emergency in Brentwood. We're here to help!

 

Ready to book an appointment?
If you have difficulty using our website, please email us or call us at (615) 373-0883
View the ADA Accessibility Statement