Haley E. Schmitt, DDS Cosmetic & Family Dentistry
A Great Dentist

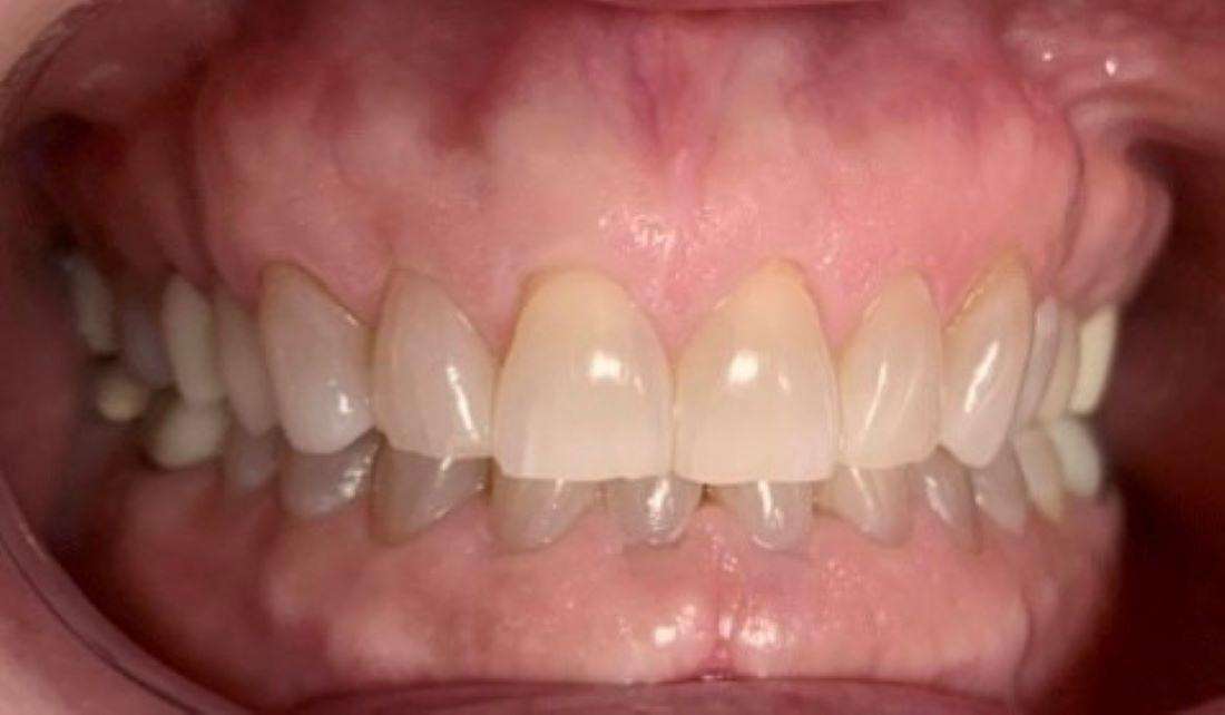
Brighter Smiles with Professional Teeth Whitening

This patient was displeased with their dull and yellowed teeth. A professional teeth whitening treatment resulted in the whiter, brighter smile they wanted, and now they can't stop smiling!

Professional Teeth Whitening in Brentwood, TN

At Haley E. Schmitt, DDS, Family & Cosmetic Dentistry, we offer two types of professional teeth whitening with in-office bleaching treatments and convenient take-home whitening kits. 

Contact our team at (615) 373-0883 for more information about professional teeth whitening. 

Related Services:

Teeth Whitening
Getting an appointment is fast and easy!
If you have difficulty using our website, please email us or call us at (615) 373-0883
View the ADA Accessibility Statement