Haley E. Schmitt, DDS Cosmetic & Family Dentistry
A Great Dentist

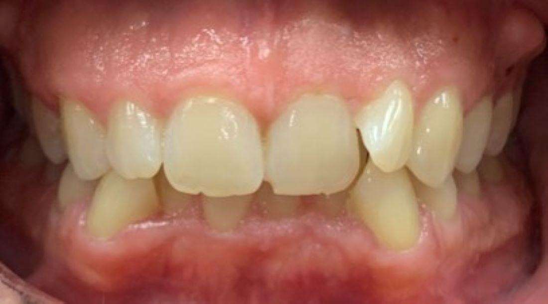
Creating Straight Smiles with Invisalign®

This patient wanted to straighten their crooked teeth and improve their bite. We were able to help them achieve their goals with clear aligners with Invisalign® in Brentwood.

Would You Like to Straighten Your Teeth?

Contact our dental office at (615) 373-0883 to book an evaluation with Dr. Schmitt to learn more about clear braces. 

Related Services:

Invisalign® Clear Braces
Ready to book an appointment?
If you have difficulty using our website, please email us or call us at (615) 373-0883
View the ADA Accessibility Statement