Haley E. Schmitt, DDS Cosmetic & Family Dentistry
A Great Dentist

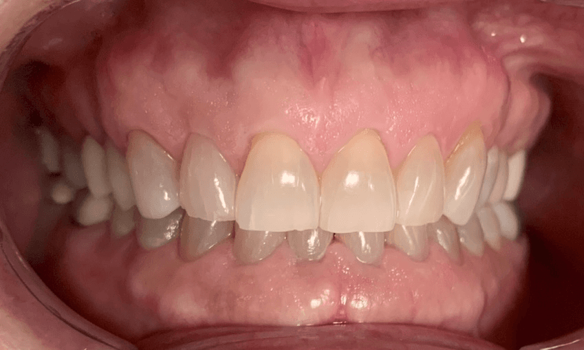
The Stunning Results of KöR Teeth Whitening

KöR Teeth Whitening is science based and one of the best professional teeth bleaching systems available. KöR is clinically proven to eliminate stubborn stains, like tetracycline, that most other bleaching products can't touch. 

This patient is thrilled with their results and can't stop smiling!

Learn More about Teeth Whitening in Brentwood

Contact our team at (615) 373-0883 to learn more about KöR.

Not finding what you need?
If you have difficulty using our website, please email us or call us at (615) 373-0883
View the ADA Accessibility Statement
Privacy Policy