Haley E. Schmitt, DDS Cosmetic & Family Dentistry
A Great Dentist

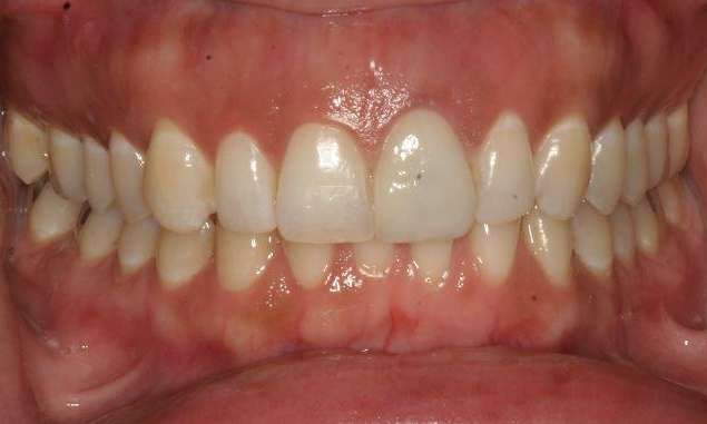
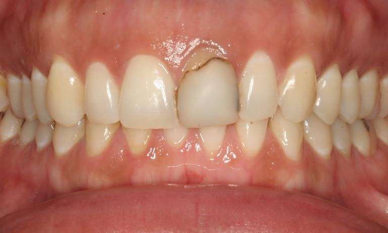
Composite Veneers to the Rescue

Dr. Schmitt restored this smile with a composite resin veneer. Made of the same material used for dental fillings, composite resin can eliminate many of the same flaws as porcelain veneers. 

We Can Help You Reclaim Your Best Smile

Everyone deserves a smile they love, and your cosmetic dentist in Brentwood can help! Call (615) 373-0883 to book your evaluation with Dr. Schmitt.

Related Services:

Cosmetic Dentistry
Have Questions? Get in Touch
If you have difficulty using our website, please email us or call us at (615) 373-0883
View the ADA Accessibility Statement